Terrana Orthodontics
Skip to content
  • Our Practice
    • Meet Dr. Anthony Terrana
    • Meet Our Team
    • What Sets Us Apart
    • Scheduling Appointments
    • Office Tour
    • Privacy Policy
  • Treatment
    • Common Orthodontic Problems
    • Choose Your Look
    • Self-Ligating Metal Braces
    • Clear Braces
    • Retainers
    • Expanders
    • Space Maintainers
    • Two Phase Treatment
    • Forsus
    • Digital Impressions
    • Reverse Pull Headgear
    • Dental Braces
    • Dental Braces For Adults
    • Dental Braces for Teens
    • Orthodontics for Kids
    • Orthodontics for Adults
    • 3D Printed Orthodontic Appliances
    • Indirect Bonding
  • Invisalign
    • Invisalign®
    • Why Invisalign
    • The Invisalign Process
    • Caring for Invisalign Aligners
    • Invisalign for Teens
    • Invisalign First
  • New Patients
    • Your First Visit
    • Payment Options
    • Frequently Asked Questions
    • Right age
    • Retention
    • New Patient Forms
  • Patient Resources
    • First Day In Braces
    • Eating With Braces
    • Foods To Avoid
    • Oral Hygiene
    • Retainer Care
    • Emergency Care
    • Orthodontic Appliances
    • Orthodontic Terms
  • Smile Gallery
    • Gallery of Smiles
    • Before and After
  • Contact Us
    • Map & Directions
    • Request An Appointment
    • Schedule a Complimentary Consultation
    • Directions From: Basking Ridge
    • Directions From: Berkeley Heights
    • Directions From: Chatham
    • Directions From: Gillette
    • Directions From: Long Hill
    • Directions From: Madison
    • Directions From: Millburn
    • Directions From: Mountainside
    • Directions From: Short Hills
    • Directions From: Springfield
    • Directions From: Summit
    • Directions From: Warren
    • Directions From: Watchung
    • Directions From: Westfield
  • Schedule Your Free Consult
  • Call or Text Us
    (908) 838-9220

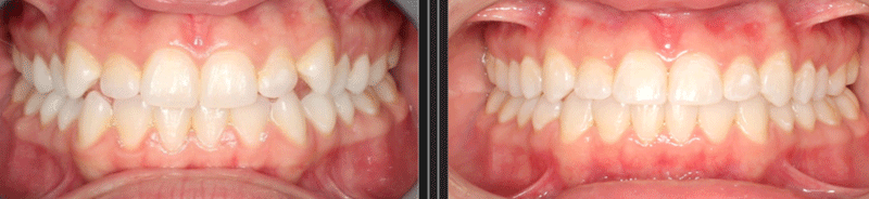
Before and After

  • FULL
  • FACE
  • TEETH




















Office Location
Terrana Orthodontics
65 South Street, Floor 2
New Providence, NJ 07974
Phone: (908) 838-9220
Email: info@terranaorthodontics.com
Click For Directions
Office Hours
Monday 11am-7pm
Tuesday - Wednesday 10am-6pm
Thursday 9am-6pm
Friday 9am-5pm
Saturday 9am-2pm (Alternating)
Schedule A Complimentary Consultation Today!

Stay Connected

Dr. Terrana is a Board-Certified Orthodontist (only 1 in 3 orthodontists are Board Certified). He graduated from Rutgers School of Dental Medicine and is Diplomate of the American Board of Orthodontics and a member of the American Association of Orthodontists. Our office is located in New Providence, NJ and provides orthodontic treatment to many surrounding communities including New Providence, Summit, Berkeley Heights, Chatham, Gillette, Madison, Westfield, Long Hill, Springfield, Watchung, Warren, Mountainside, Millburn, and Short Hills.

© 2022 Terrana Orthodontics | All Rights Reserved.
Click for Accessibility
  • Our Practice
    ▼
    • Meet Dr. Anthony Terrana
    • Meet Our Team
    • What Sets Us Apart
    • Scheduling Appointments
    • Office Tour
    • Privacy Policy
  • Treatment
    ▼
    • Common Orthodontic Problems
    • Choose Your Look
    • Self-Ligating Metal Braces
    • Clear Braces
    • Retainers
    • Expanders
    • Space Maintainers
    • Two Phase Treatment
    • Forsus
    • Digital Impressions
    • Reverse Pull Headgear
    • Dental Braces
    • Dental Braces For Adults
    • Dental Braces for Teens
    • Orthodontics for Kids
    • Orthodontics for Adults
    • 3D Printed Orthodontic Appliances
    • Indirect Bonding
  • Invisalign
    ▼
    • Invisalign®
    • Why Invisalign
    • The Invisalign Process
    • Caring for Invisalign Aligners
    • Invisalign for Teens
    • Invisalign First
  • New Patients
    ▼
    • Your First Visit
    • Payment Options
    • Frequently Asked Questions
    • Right age
    • Retention
    • New Patient Forms
  • Patient Resources
    ▼
    • First Day In Braces
    • Eating With Braces
    • Foods To Avoid
    • Oral Hygiene
    • Retainer Care
    • Emergency Care
    • Orthodontic Appliances
    • Orthodontic Terms
  • Smile Gallery
    ▼
    • Gallery of Smiles
    • Before and After
  • Contact Us
    ▼
    • Map & Directions
    • Request An Appointment
    • Schedule a Complimentary Consultation
    • Directions From: Basking Ridge
    • Directions From: Berkeley Heights
    • Directions From: Chatham
    • Directions From: Gillette
    • Directions From: Long Hill
    • Directions From: Madison
    • Directions From: Millburn
    • Directions From: Mountainside
    • Directions From: Short Hills
    • Directions From: Springfield
    • Directions From: Summit
    • Directions From: Warren
    • Directions From: Watchung
    • Directions From: Westfield